Skin is the largest organ of the human body and plays a very important role in protecting us from infections, pollution, and environmental damage. Healthy skin not only improves our appearance but also reflects our overall health. However, due to lifestyle changes, pollution, stress, and poor skincare habits, skin problems have become very common today.
At Angel Hospital, we often see patients suffering from various skin conditions that affect their comfort, confidence, and daily life. Understanding skin problems, their causes, and proper treatment is the first step toward healthy skin.

What Are Skin Problems?
Skin problems are conditions that affect the appearance, texture, or health of the skin. These issues can occur at any age and may range from mild irritation to chronic skin diseases. Some skin problems are temporary, while others require long-term medical care.
Skin conditions can affect the face, hands, legs, scalp, or the entire body. Early diagnosis and proper treatment help prevent complications and long-term damage.

Common Causes of Skin Problems
There are many reasons why skin problems occur. Some of the most common causes include:
- Pollution and environmental exposure
- Poor hygiene and improper skincare routine
- Hormonal changes
- Allergic reactions
- Infections caused by bacteria, fungi, or viruses
- Stress and lack of sleep
- Poor diet and dehydration
- Excessive sun exposure
Identifying the exact cause is important for effective treatment.
Common Types of Skin Problems
1. Acne
Acne is one of the most common skin problems, especially among teenagers and young adults. It occurs when pores become blocked with oil, dirt, and dead skin cells.
Symptoms of acne include:
- Pimples and blackheads
- Whiteheads
- Red or swollen bumps
- Acne scars (in severe cases)
Acne can affect the face, chest, back, and shoulders. Proper skincare, medical treatment, and lifestyle changes can help control acne.

2. Eczema
Eczema is a chronic skin condition that causes dry, itchy, and inflamed skin. It is more common in children but can affect adults as well.
Common symptoms:
- Dry and sensitive skin
- Severe itching
- Red or cracked skin
- Thickened skin over time
Eczema often worsens due to stress, allergens, or harsh soaps. Medical treatment and moisturizing care help manage the condition.

3. Fungal Infections
Fungal infections are very common in warm and humid climates. They usually affect areas like feet, groin, scalp, and skin folds.
Symptoms include:
- Itching and redness
- White or dark patches on skin
- Scaling or peeling skin
- Burning sensation
Proper hygiene and antifungal treatment are essential for recovery.

4. Psoriasis
Psoriasis is a long-term autoimmune skin condition that causes rapid skin cell growth, leading to thick, scaly patches.
Symptoms include:
- Red patches with silvery scales
- Dry and cracked skin
- Itching or pain
- Thickened nails
Psoriasis requires medical supervision and long-term management.

5. Allergic Skin Reactions
Skin allergies occur when the skin reacts to certain substances like cosmetics, detergents, metals, or food items.
Symptoms may include:
- Redness and itching
- Rashes or swelling
- Dry or flaky skin
Avoiding allergens and proper treatment helps reduce allergic reactions.

Importance of Early Diagnosis
Ignoring skin problems can lead to worsening symptoms, infections, and permanent skin damage. Early diagnosis allows doctors to identify the root cause and start appropriate treatment at the right time.
At Angel Hospital, skin conditions are carefully evaluated to provide accurate diagnosis and personalized treatment plans.
Treatment Options for Skin Problems
Treatment depends on the type and severity of the skin condition. Common treatment options include:
- Medicated creams and ointments
- Oral medicines
- Proper skincare routine
- Lifestyle and dietary changes
- Medical procedures (if required)
Self-medication should be avoided, as it may worsen the condition.

Tips for Healthy Skin
Maintaining healthy skin requires daily care and healthy habits:
- Keep your skin clean and moisturized
- Drink enough water
- Eat a balanced diet rich in vitamins
- Avoid excessive sun exposure
- Use gentle skincare products
- Manage stress and get enough sleep
Simple habits can make a big difference in skin health.
When to See a Doctor
You should consult a doctor if you experience:
- Persistent skin rashes
- Severe itching or pain
- Sudden skin changes
- Skin infections
- Acne that does not improve
Professional guidance ensures safe and effective treatment.
Skin Care at Angel Hospital
At Angel Hospital, we provide expert care for various skin problems. Our experienced doctors focus on accurate diagnosis, personalized treatment, and patient education. We believe in treating skin problems with care, compassion, and medical expertise.

Conclusion
Skin problems are common, but they should never be ignored. With proper medical care, healthy habits, and timely treatment, most skin conditions can be effectively managed.
If you are facing any skin-related concerns, visit Angel Hospital for trusted medical advice and quality care.
Angel Hospital – Caring for Your Skin, Caring for You.
Advanced Knowledge About Skin: How It Works, Why Problems Occur, and How to Maintain Healthy Skin
The skin is not just the outer covering of the body—it is a complex and active organ that plays a vital role in protecting us from infections, environmental damage, and dehydration. Healthy skin reflects good internal health, while ongoing skin problems often indicate deeper medical or lifestyle issues.
At Angel Hospital, we believe that understanding the science behind skin health is essential for long-term treatment and prevention of skin diseases.
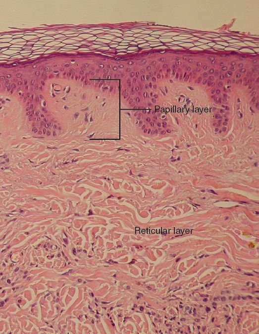
Structure of Human Skin
Human skin is made up of three main layers, each with a specific function:
1. Epidermis (Outer Layer)
The epidermis is the topmost layer of the skin. It protects the body from bacteria, pollution, and harmful chemicals.
- Responsible for skin color and texture
- Produces new skin cells continuously
- Acne, pigmentation, tanning, and dryness usually start here
Damage to the epidermis can lead to dullness, uneven tone, and infections.

2. Dermis (Middle Layer)
The dermis lies beneath the epidermis and provides strength and elasticity to the skin.
- Contains blood vessels, nerves, sweat glands, and hair follicles
- Produces collagen and elastin (important for firm, youthful skin)
- Wrinkles, scars, and deep acne damage affect this layer
Most chronic skin conditions involve the dermis.

3. Hypodermis (Inner Layer)
This layer consists of fat and connective tissue.
- Helps regulate body temperature
- Protects internal organs
- Stores energy
Sudden weight changes can affect this layer and impact skin appearance.

Why Skin Problems Become Chronic
Many skin problems return repeatedly because only surface symptoms are treated, not the root cause.
Common reasons include:
- Hormonal imbalance
- Incomplete or incorrect treatment
- Use of unsuitable skincare products
- Stress and lack of sleep
- Poor digestion and nutrition
- Pollution and sun exposure
Skin health is closely linked to hormones, immunity, gut health, and mental well-being.
Hormonal Impact on Skin
Hormones strongly influence skin condition at different life stages:
- Teenage years → acne and oily skin
- PCOS and hormonal imbalance → severe acne and pigmentation
- Pregnancy → dark patches and sensitivity
- Thyroid disorders → dry skin, hair fall
- Menopause → wrinkles and skin thinning
In such cases, medical evaluation and internal treatment are often required.

Understanding Skin Infections
Bacterial Infections
- Symptoms: redness, pain, pus formation
- Spread quickly if untreated
- Require proper antibiotic treatment
Fungal Infections
- Symptoms: itching, white or dark patches, scaling
- Common in humid environments
- Incomplete treatment leads to recurrence
Viral Infections
- Sudden appearance with pain or burning
- Require accurate diagnosis
Incorrect creams can worsen infections, which is why medical advice is important.
Pigmentation and Dark Spots – Scientific Explanation
Pigmentation occurs due to uneven production of melanin, the pigment responsible for skin color.
Common causes:
- Sun exposure
- Hormonal changes
- Acne marks
- Improper cosmetic use
- Genetic factors
Treatment requires sun protection, medical creams, and patience for visible improvement.

Skin Aging and Anti-Aging Science
Skin aging is natural, but premature aging can be slowed.
Causes of early aging:
- Excessive sun exposure
- Smoking and pollution
- Poor hydration
- Nutritional deficiencies
Collagen production starts decreasing after the age of 25, making skincare and lifestyle habits more important.
Medical Skincare vs Cosmetic Products
Cosmetic products may offer temporary glow, but medical skincare focuses on treating the root cause.
Important advice:
- Avoid self-medication
- Do not use steroid creams without prescription
- Follow dermatologist-recommended treatments
Proper diagnosis is more effective than trial-and-error skincare.

Diet and Skin Health
Skin reflects internal nutrition and hydration.
Skin-friendly nutrients include:
- Vitamins A, C, and E
- Zinc
- Omega-3 fatty acids
- Adequate water intake
Excess sugar, oily food, and junk food can worsen acne and inflammation.
Mental Health and Skin Connection
Stress directly affects skin health and can trigger:
- Acne flare-ups
- Eczema worsening
- Psoriasis attacks
- Hair fall
Good sleep, relaxation, and stress management are essential for healthy skin.
When to Consult a Doctor
Medical attention is necessary if:
- Skin problems persist for more than 2–3 weeks
- Pain, pus, or fever is present
- Sudden changes in skin color or texture occur
- Recurrent infections or severe itching develops
Early diagnosis prevents complications and long-term damage.
Skin Care Approach at Angel Hospital
At Angel Hospital, skin problems are treated with a comprehensive and scientific approach:
- Root cause identification
- Accurate diagnosis
- Personalized treatment plans
- Patient education
- Safe and ethical medical practices
Our focus is long-term skin health, not temporary relief.
Conclusion
Skin problems are common, but with proper medical understanding, timely treatment, and healthy habits, they can be effectively managed. Every skin type is different, and treatment should always be personalized.
Healthy skin requires:
✔ Correct diagnosis
✔ Right treatment
✔ Balanced lifestyle
Skin Problems: Causes, Symptoms, Treatment & Prevention
Skin is the largest organ of the human body and plays an important role in protecting us from infections, pollution, and environmental damage. Skin problems are very common today due to changing lifestyle, pollution, stress, unhealthy diet, and lack of proper skin care. People of all age groups, including children and elderly individuals, can suffer from skin-related conditions.
Common skin problems include acne, eczema, fungal infections, skin allergies, pigmentation, psoriasis, dry skin, and bacterial infections. These conditions may appear as redness, itching, rashes, pimples, discoloration, scaling, or pain. Some skin problems are temporary, while others may become chronic if not treated properly.
Many skin issues develop due to hormonal imbalance, excessive oil production, blocked pores, bacterial or fungal growth, poor hygiene, excessive sun exposure, and use of unsuitable cosmetic products. Stress and lack of sleep also play a major role in worsening skin conditions. In some cases, skin problems may indicate internal health issues such as allergies, nutritional deficiencies, or immune-related disorders.
Early diagnosis is very important in managing skin problems. Ignoring symptoms or using random creams without medical advice can make the condition worse. Steroid-based creams, when used without prescription, may cause serious side effects and long-term skin damage.
Treatment of skin problems depends on the exact cause and severity of the condition. Medical treatment may include topical applications, oral medicines, lifestyle changes, and proper skincare routines. Consistency in treatment and following medical advice strictly helps in achieving better and long-lasting results.
Maintaining good skin hygiene, drinking enough water, eating a balanced diet, managing stress, and protecting skin from excessive sun exposure are essential steps for healthy skin. Regular medical consultation helps prevent recurrence and complications.
At Angel Hospital, skin problems are treated with a patient-centered approach, accurate diagnosis, modern medical methods, and personalized care to ensure safe and effective recovery.

Important Skin Care Information (FAQs – Paragraph Style)
Skin problems do not always heal on their own and often require proper medical attention. Many conditions may look similar on the surface but have completely different causes, which is why professional diagnosis is essential.
Self-medication is one of the biggest reasons for worsening skin conditions. Using over-the-counter creams without understanding skin type or condition may cause irritation, pigmentation, or permanent damage.
Diet has a direct impact on skin health. Excessive oily food, sugar, and junk food can trigger acne and inflammation, while a healthy diet rich in fruits, vegetables, and vitamins improves skin quality.
Stress affects hormone levels and weakens the immune system, which can lead to acne, eczema flare-ups, psoriasis, and hair-related skin issues. Proper sleep and stress management are important for skin recovery.
Some skin infections are contagious and can spread through direct contact or shared personal items. Maintaining hygiene and completing the full course of treatment prevents spread and recurrence.
Sun exposure can damage skin cells, cause premature aging, tanning, and pigmentation. Protecting skin from harsh sunlight is essential for long-term skin health.
Skin treatment takes time and patience. Some conditions show improvement in a few weeks, while others require long-term care. Regular follow-ups help track progress and prevent relapse.
Children and elderly people have more sensitive skin and require special care and gentle treatment. Proper medical guidance ensures safety and effectiveness.
Healthy skin is not just about beauty but also about overall health. Regular skincare, medical check-ups, and healthy habits help maintain strong and disease-free skin.
Visit Angel Hospital to get expert care for all skin problems contact us